H R C

Realizamos con éxito angioplastias carotídeas con protección cerebral

Realizamos con éxito angioplastias carotídeas con protección cerebral
  • Prensa
  • 5 de febrero de 2026
  • 2 MINS READ

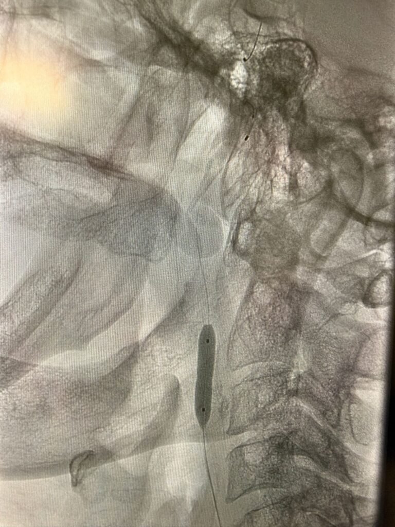
El procedimiento endovascular de alta complejidad está destinado a tratar la estenosis de las arterias carótidas y prevenir accidentes cerecerebrovasculares (ACV).

Mediante un abordaje percutáneo por arteria femoral, utilizamos filtros de protección cerebral para minimizar el riesgo de embolias durante la intervención. Posteriormente, efectuamos la dilatación con balón y la colocación de un stent de celdas cerradas, logrando una revascularización segura y eficaz, sin necesidad de cirugía a cielo abierto.

Este tipo de procedimientos permite reducir riesgos, acortar tiempos de recuperación y ofrecer una alternativa menos invasiva para pacientes con patología carotídea significativa, mejorando así los resultados clínicos y la calidad de atención.

Estos avances son posibles gracias al trabajo coordinado de nuestro equipo de Hemodinamia, integrado por el Dr. Alejandro Martorina, el Dr. Hugo Pollini, el Dr. Juan Manuel Fernández Cambra y el Dr. Francisco Canllo. También destacamos la labor fundamental del equipo de instrumentadores quirúrgicos, de Enfermería y de los Licenciados en Bioimágenes, cuya participación es clave en cada intervención.

Con diagnóstico oportuno a través de eco doppler y tratamiento endovascular de precisión, continuamos consolidándonos como centro de referencia en patología vascular periférica y neurológica en toda la región de Cuyo.

Desde el Hospital Carrillo y como parte del Sistema Público de Salud, seguimos fortaleciendo la atención de alta complejidad para brindar a nuestra comunidad acceso a prácticas seguras, innovadoras y de calidad.